2025-09-24 10:11:19
近日,湘雅常德医院口腔颌面外科团队成功为一位在外院因“拔牙”造成颌骨缺损的患者实施了游离髂骨重建颌骨的种植手术。种植体顺利的植入为其后续的缺牙修复和最终恢复咀嚼功能与面部美观奠定了坚实基础,标志着患者历时数月的颌骨重建治疗取得了圆满的成功。

误拔出的牙及颌骨
2024年末,该患者因外院不正规的拔牙造成左上颌大面积骨缺损。为寻求颌骨修复,在常德多家医疗机构就诊,均告知难度大建议前往长沙。患者不想奔波,经朋友介绍后来到湘雅常德医院就诊。口腔科主任伍栋接诊了患者并为患者制定了详细的治疗计划。伍栋主任指出:患者因拔牙造成颌骨大面积缺损,目前需要分二步处理。第一,先行颌骨缺损的骨移植;第二,待骨移植成功后,再行缺牙的种植修复。经过周密的术前规划和准备,口腔颌面外科团队在全身麻醉下为患者成功施行了“游离髂骨移植修复术+牙槽植骨成形术”。手术团队巧妙地以患者自身的髂骨作为移植材料,采用数字化3D设计与打印技术,在术中精准截取髂骨并完成上颌骨缺损的定制化重建,成功恢复颌骨及牙槽嵴的生理性高度与宽度,实现解剖结构的精准复原,并应用了微型钛板钛钉内固定系统来确保移植骨的稳定愈合。

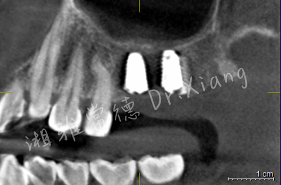
经过9个月骨愈合后,患者复查锥形束CT,骨愈合十分满意。9月中旬,向峰医师种植团队成功为患者实施了第二步的手术,取出内固定装置的同时为患者成功微创的植入2枚种植体,完成了患者左上颌区域的软硬组织的自然恢复和改建。
接下来,患者即将进入治疗的“最终章”。3个月后取模,完成种植牙冠的修复,重建缺失的牙齿。

种植体精准微创植入
伍栋主任表示:此次高难度骨移植手术的成功,体现了我院在口腔颌面部硬组织缺损修复领域精湛的技术水平。从复杂的骨缺损的修复重建,再到口腔种植功能的重建,我院口腔颌面外科与修复科团队凭借精湛的技艺、先进的理念和紧密的无缝协作,为患者提供了科学、合理的治疗方案。本例患者的成功治疗,再次展现了我院口腔科的综合实力。
编辑:腾燕妮
编审:冷潇俨
审核:胡卫锋
急诊电话:0736-2120120
预约挂号:0736-2120000
咨询电话:0736-2120210
健康体检:0736-2120381
(急诊电话24小时在线、其余电话工作时间在线)