2026-03-17 11:57:16
近日,湘雅常德医院心胸外科在微创治疗结构性心脏病领域取得重要突破。在医院心脏外科团队核心、湘雅专家黄日茂教授带领下,青年骨干医生刘茂林主治医师联合超声科孔百春主任医师成功完成“局部麻醉+单纯经胸超声心动图(TTE)引导下房间隔缺损封堵术”。该手术全程无X线辐射、无造影剂、无需经食管超声引导、无需全身麻醉,患者在清醒状态下顺利完成治疗,这标志着湘雅常德医院在结构性心脏病微创介入治疗领域达到新的技术水平。

患者王某某,63岁,入院后经详细检查确诊为中央型房间隔缺损,合并中度肺动脉高压。经综合评估,患者具备微创介入封堵手术指征。
为最大限度减少手术创伤、避免辐射风险、减轻患者痛苦并降低医疗费用,心脏外科团队联合超声科、麻醉科进行多学科会诊,对患者缺损大小、边缘条件及全身状况进行全面评估,最终确定了单纯TTE引导下房间隔缺损封堵术的治疗方案。

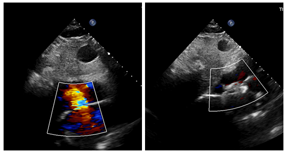
患者手术前后超声对比图
手术在局部麻醉下进行,患者全程保持清醒,生命体征平稳。刘茂林主治医师主刀,经股静脉建立微创通道,术中不依赖DSA血管造影、不使用造影剂、无需放置经食管超声探头,仅依靠单纯TTE实时超声影像完成缺损定位、封堵器测量、植入与释放。术中超声屏幕清晰显示,封堵器放置位置理想,无残余分流,手术效果达到预期。整个过程无X线辐射暴露,患者无任何不适感,真正实现了绿色、微创、安全的手术目标。
此次手术的成功开展,不仅展现了湘雅常德医院心胸外科团队在结构性心脏病微创治疗领域的技术实力,也为湘西北及周边地区心脏病患者提供了更加安全、经济、高效的治疗选择。
据悉,与传统开胸手术及常规DSA或TEE引导下的介入手术相比,单纯TTE引导技术具有显著优势:
绿色零辐射:全程无X线暴露,避免辐射损伤,特别适用于儿童、育龄女性等特殊人群;
保护肝肾功能:无需使用造影剂,降低肝肾负担及过敏风险;
患者体验更佳:无需经食管超声,免除食管不适及损伤风险;
局麻清醒手术:无需全麻插管,创伤小、疼痛轻、恢复快、住院时间短
减轻经济负担:无需全身麻醉及复杂设备支持,显著为患者节省医疗费用。
急诊电话:0736-2120120
预约挂号:0736-2120000
咨询电话:0736-2120210
健康体检:0736-2120381
(急诊电话24小时在线、其余电话工作时间在线)